Welcome to Dr.Ribhu Ganguly's Maxsmile Dental Clinic
We are your one stop partner for all your dental needs. Our team commits to your healthy and radiant smile and elevates your well-being. Our clinic in Sodepur uses modern technology for a patient-centred approach. Get treated on your terms to your satisfaction and comfort, and gain confidence.

Dr.Ribhu Ganguly
BDS (Honours) from WBUHS,
MDS (Oral Medicine and Radiology) Lucknow.
Assistant Professor at Kusum Devi Jain Dental college and Hospital Kolkata.
Ex-House surgeon Suri Sadar Hospital, Birbhum.
Opening Hours
- Monday to Saturday- 10 AM to 8.30 PM
- Sunday - 10 AM to 1 PM
About Us
Your trusted dental care clinic
Dr. Ribhu Ganguly is a distinguished dental surgeon in the field of Oral Medicine and Radiology. A highly accomplished dental specialist, he holds a BDS (Honours) from WBUHS, an MDS in Oral Medicine and Radiology from Lucknow, and observership from International Medical University (IMU) Kuala Lumpur Malaysia, making him a leading figure in diagnosing and managing complex oral conditions.
With an impressive tenure as an Assistant Professor at Kusum Devi Jain Dental College and Hospital, Kolkata. Dr. Ganguly has honed a vast array of skills, seamlessly blending clinical expertise with academic excellence. His specialization in oral pre-cancer and cancer detection, temporomandibular joint (TMJ) disorders, and advanced radiological diagnostics, sets him apart as a pioneer in the field. His profound knowledge and precision in detecting and treating oral diseases even for the medically compromised patients make him an indispensable asset in modern dentistry.
Dr. Ganguly’s exceptional proficiency in diagnosing and treating intricate dental conditions ensures that every patient receives world-class care. His dedication to innovation, patient-centered treatment, and mastery of cutting-edge dental radiology techniques make him the go-to expert in the Sodepur region and beyond. Whether it’s early detection of oral cancer, managing TMJ disorders, or providing comprehensive dental solutions.

Dr.Ribhu Ganguly
BDS (Honours) from WBUHS,
MDS (Oral Medicine and Radiology) Lucknow,
Assistant Professor at Kusum Devi Jain Dental college and Hospital Kolkata,
Ex-House surgeon Suri Sadar Hospital, Birbhum.
Our Services
A perfect smile guaranteed
Lorem ipsum dolor sit amet, consectetur adipiscing elit. Donec efficitur, enim bibendum volutpat dictum.

General Dentistry
We bring the right people together to challenge established thinking and drive transform in 2020

Implants
We bring the right people together to challenge established thinking and drive transform in 2020

Dental Surgery
We bring the right people together to challenge established thinking and drive transform in 2020

Teeth Braces
We bring the right people together to challenge established thinking and drive transform in 2020

Whitening
We bring the right people together to challenge established thinking and drive transform in 2020
Our Services
Your smile, Our services
Your smile inspires us – We are committed to making your smile unforgettable

General Dentistry
Your lifelong partner in oral health

Orthodontics
Straight smiles, shape futures

Dental Implants
Restoring smiles, one tooth at a time


Cosmetic Dentistry
Redefining smiles, boosting confidence

Root Canal Treatment
Saving smiles, relieving pain

TM Joint problems
Making little smiles bright
Why Choose Maxsmile Dental Clinic?
Shaping the future of healthy smiles with the pioneering leader in Sodepur
Dentists are many; expertise is rare. Choose us to get a wide variety of dental services.
Experienced Dentists
Smile bright with our experienced dentists.
Modern Technology
Get modern dental services with state of the art equipment.
Comprehensive Dental Services
Routine checkups to surgery, get services at your convenience.

achievements





What Client Says
Rajesh Mazumdar2024-08-23Trustindex verifies that the original source of the review is Google. Excellent👍, keep it up, God bless you .... Nabanita Basu Mukherjee2024-07-11Trustindex verifies that the original source of the review is Google. Fully satisfied by the service of Maxsmile. Dr. Ribbu Ganguly, your way of treatment is amazing .As per your verse " Dentistry is painless" , I would not believe it if I have not experienced it. 100% recommended. Suman Roy Chowdhury2024-07-07Trustindex verifies that the original source of the review is Google. 1st of All I should speak about Dr. Rivu Ganguly. He is so friendly & well behaved & explain you everything that You wouldn't have any doubt in your mind. He is expert in his domain & gives you best possible treatment. His Maxsmile clinic is very well equipped with modern treatment amenities & the place is very aesthetically designed. Sayonavo Dey2024-07-07Trustindex verifies that the original source of the review is Google. Superb experience , very nice behaviour and extremly satisfied treatment Sumantra Banerjee2024-06-27Trustindex verifies that the original source of the review is Google. Excellent clinic for gum and teeth related problem. Visited for a treatment of calculus in gums. Dr. Ribhu Ganguly treated the problem quickly with a short procedure. Extremely competent dental surgeon. Swayambhoo Mitra2024-06-25Trustindex verifies that the original source of the review is Google. I had an exceptional experience at Maxsmile Dental Clinic. Previously, I had a fear of dental work, particularly the sound of drilling and the associated discomfort. However, when I had two cavities restored, Dr. Ribhu Ganguly's efficiency left a lasting impression. The three standout features were a painless process, a pristine and sterile workspace, and a doctor who provided detailed explanations at every step. My wife also appreciated the calming atmosphere while she waited. Overall, it was an outstanding experience at the dental clinic. Somenath Roy Chowdhury2024-06-21Trustindex verifies that the original source of the review is Google. I myself with my wife visited Maxsmile Dental Clinic on the day of inauguration and literally it is well equipped to serve as per the expectations of patients. Wish for the bright future of this clinic as it is deserves. Manas Ganguly2024-06-20Trustindex verifies that the original source of the review is Google. One of the finest Multispeciality Dental Clinic. Well efficient doctor.
Our Doctor
Professional Doctor
Donec efficitur, enim bibendum volutpat dictum, tellus risus porttitor leo, eget ele ifend enim metus eu sem. Ut ipsum eros, bibendum et ligula vitae, sollicitudin.
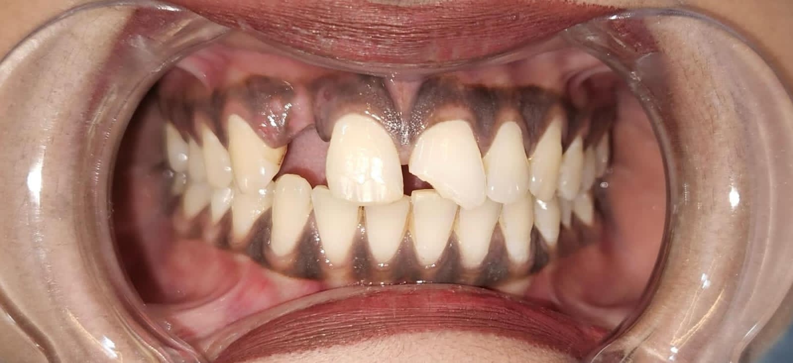
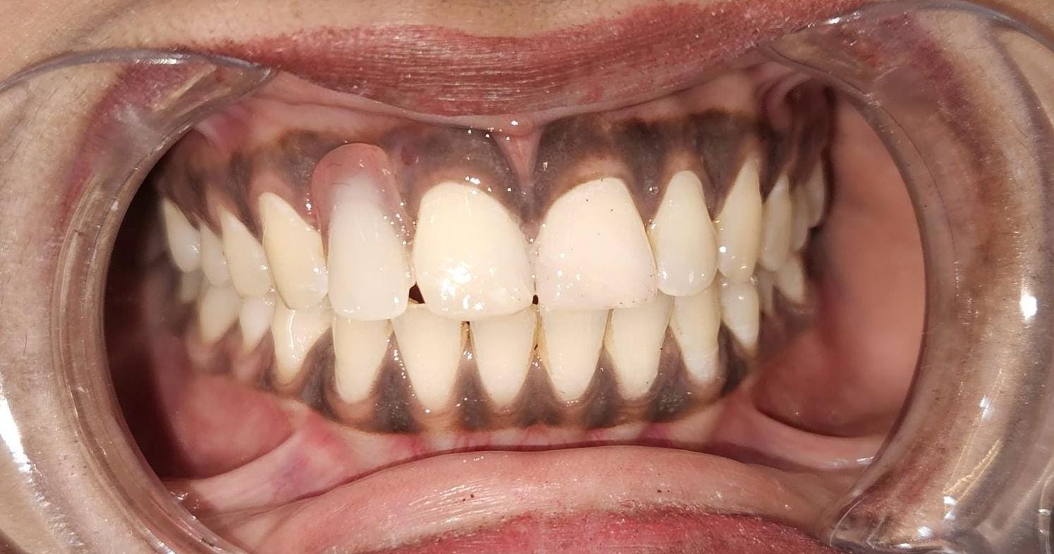
some of our work






















Book Now
Fill in the form to learn more about our services
Make An appointment
Take a look at our easy appointment process. We offer a four-step checkup process
Make Appointment
Fill out your details.
Schedule Appointment
Book a time to be checked
Meet the Dentist
Get acquainted with our dentist.
Checkup and payment
Pay after getting treated